エックス線撮影室
- 公開日:
- 更新日:
一般撮影
「より少ないエックス線の量で、より高画質に」
胸部や腹部、全身の骨などの撮影を行っています。
健康診断などで胸部の撮影をされた経験は皆さんあると思いますが、撮影する部位は頭から足先まで全身が対象です。
撮影機器の新規導入により、以前よりも少ないX線量で、より高画質な画像が撮影可能となりました。
検査時間
- 胸部、腹部:約5分から10分
- 手や足の骨:約5分から10分
- 背骨や腰の骨:約10分
- 歯、顎(パノラマ):約10分
- 背骨全体、下肢全体:約10分
撮影時間は目安です。
撮影部位の数によって、検査時間は前後します。

患者様へお願い
- より画質の良いエックス線画像を撮影するために、また診断の妨げとならないように、撮影する部位によって着替えにご協力いただいています。
- 検査着のご用意もありますので、着替えが必要な場合は撮影前にご案内いたします。
エックス線画像に写るもの
- ブラジャー
- パッド付きの下着
- 下着のゴム
- ボタン類
- 湿布
- 使い捨てカイロ
(衣類に貼るものも含む) - 髪の毛、ウィッグ、ヘアピン
- 入れ歯
- アクセサリー等の金属類
着替えの必要がないもの
- 無地の肌着、下着
- ボタンや金属がない衣類
- 撮影部位以外の衣類
注意事項
- 妊娠の可能性がある方は検査前に担当のスタッフにお申し出ください。
- 撮影する部位によっては、着替えをせずに撮影できる場合もあります。
撮影室のご案内
エックス線撮影装置

- 胸部や腹部、骨などの単純エックス線撮影を行う装置です。
- FPD(フラットパネルディテクター)を用いた撮影システムを導入しており、従来よりも高画質でより少ない被ばく線量で撮影することができます。
- 単純撮影室は6部屋あり、患者様の待ち時間短縮に努めています。
長尺撮影装置

- 主に背骨全体の撮影や上肢・下肢の撮影で使用されます。
- 一度に広範囲の撮影ができることが特徴です。
移動型エックス線撮影装置

- 病棟の患者様のベッドサイドへ行き、主に胸腹部の撮影を行います。
- 当院ではこの装置のほかに集中治療室、手術室、救急外来の各部屋に配置されています。
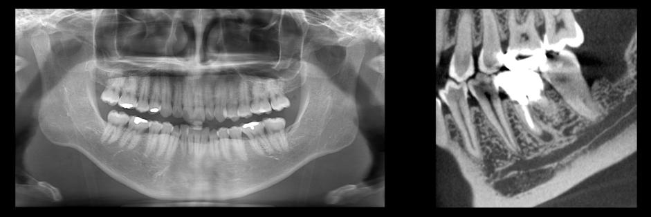
歯科専用エックス線撮影装置

- 顎関節や顎の骨を含め、左の奥歯から右の奥歯まで広い範囲を撮影できます。
- 歯科・口腔外科でよく用いられ、主に親知らずの抜歯や歯周病の診断、インプラント治療の際に撮影します。
「新規機器を導入しました」
2019年9月に歯科専用エックス線撮影装置を更新しました。
新たにコーンビームCT(CBCT)撮影が可能となりました。
この装置で撮影したCBCT画像は、歯科・口腔外科領域に特化した、より微細なもので、治療や手術に用いられます。
以前は歯科専用エック線装置とCT装置それぞれで撮影していたものが、
この装置一台で撮影できるため、患者様にお待ちいただく時間も短くなりました。

乳房撮影(マンモグラフィ)
「乳がんの早期発見に有効」
乳房撮影はマンモグラフィとも呼ばれます。
乳房はとても柔らかい組織でX線の吸収差が非常に少ないため専用のX線撮影装置を使用しています。乳房を装置の上で薄く広げて上からプラスチック板で挟むように固定して撮影します。
また、年齢や乳腺の状態によって超音波検査や視触診と合わせて検査が行われます。
当院では日本乳がん検診精度管理中央機構の認定資格を持つ診療放射線技師が主に撮影を行っています。
検査時間
- 約10分から20分
新規機器を導入しました
2020年3月に乳房撮影装置を更新しました。従来使用していた機器と比較して、少ないX線の量でより明瞭な画像を撮影することができます。トモシンセシスという機能が追加されたことにより、乳房を断面で画像化することが可能となりました。この機能により、今まで乳腺の重なりの影響で正常か異常か判断が付きづらかったものに対しても、診断が可能になることが期待されます。また、撮影室もプライバシーに配慮した構造になっておりますので、安心して検査を受けていただけます。
検査の流れ
乳房撮影では、乳房を上下から挟む「CC撮影」と斜めから挟む「MLO撮影」の2方向撮影が基本となっています。

CC撮影の流れ

撮影台に向かって立ちます。

撮影する乳房を充分に引き出し、撮影台の上に乗せます。

プラスチックの板で乳房を圧迫し、乳腺が広がるように平らにしていきます。

じゅうぶんに乳房が平らになったところで、呼吸を止めて撮影します。
ポイント
乳房を薄く平らにすることで乳房全体が見やすくなり、X線の量も少なくすることができます。

MLO撮影の流れ

撮影台に向かって立ち、撮影台の角に脇の下を乗せます。
その際、腕も一緒に装置に乗せます。

撮影する乳房を、下から斜め上方向に引き出し、撮影台に密着させます。

プラスチックの板で乳房を圧迫し、乳腺が広がるように平らにしていきます。

じゅうぶんに乳房が平らになったところで、呼吸を止めて撮影します。
患者様へお願い
- マンモグラフィの検査では乳房を圧迫板というプラスチックの板で挟み平らにしていきます。そのため人によって痛みが伴います。
- 痛みには個人差があり、患者様の状態に合わせて撮影しますので、ご協力をお願いします。
- 専用の検査着をご用意していますので、検査時には着替えをお願いしています。
- 何かご不明な点、ご質問がありましたら、担当のスタッフへご相談ください。
注意事項
以下の手術を受けた方は、検査前にスタッフへお申し出ください。
- 豊胸手術
- 乳房再建手術
- 心臓ペースメーカ手術
- 脳室・腹腔内シャント手術(水頭症の手術)
- 皮下埋没型中心静脈ポート手術
以下のものは、画像に写り診断の妨げになるものがあります。検査当日は使用を控えて、ご来院ください。
- 制汗スプレー(金属を含むもの)
- 日焼け止め
妊娠の可能性がある方は、検査前にスタッフへお申し出ください。
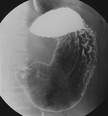
X線透視検査
「体内の臓器の状態をエックス線で観察」
エックス線透視検査とは、バリウムと呼ばれる造影剤を使用した胃や大腸の検査のほか、手術後の透視、骨折や脱臼の整復、エックス線で透視した画像を見ながら内視鏡を用いて行うERCP(内視鏡的逆行性胆管膵管造影)、気管支鏡で組織を採取するTBLB(経気管支肺生検)などがあります。
検査時間
- 胃…約20分
- 大腸…約30分

胃の透視検査

内視鏡的逆行性胆管膵管造影

骨塩定量検査
「2種類のエックス線を使用し、骨の強さを測定
2種類の異なるエネルギーのエックス線を使用し、骨と軟部組織のエックス線吸収率の差を利用して骨密度を測定します。腰椎と大腿骨頸部(股関節)の骨密度を測定することで、骨粗しょう症の早期発見や治療効果の判定などに有効です。
この骨塩定量検査は、測定精度が高く検査時間も短いため、骨粗しょう症診断において最も標準的な方法です。
検査時間
- 約10分から20分

患者様へお願い
- 妊娠の可能性がある方は検査前に担当のスタッフにお申し出ください。
- 下着や衣類に金属がある場合、検査に影響がありますので、検査着への着替えに、ご協力いただいています。
骨密度の計測画像

筋肉量、体脂肪率の計測画像

体外衝撃波結石破砕術
「衝撃波により体外から結石を細かく砕く」
- 体外衝撃波結石破砕術とは体外で発生させた衝撃波により、体内の結石を体外へ自然排石しやすい大きさまで破砕します。結石の大きさや位置によっては破砕が困難な場合もあるので、治療方法に関しては外来主治医にご相談ください。
- 手術時間は1時間程度で、痛み止めを使用しながら行います。
- 治療中は泌尿器科医師・看護師との意思疎通は可能ですので、痛みなど状態を確認しながら治療を進めていきます。
手術時間
- 約1時間
※当院では1泊2日での入院治療で行っています。

お問い合わせ先
川崎市市立川崎病院事務局庶務課
住所: 〒210-0013 川崎市川崎区新川通12-1
電話: 044-233-5521
ファクス: 044-245-9600
メールアドレス: 83kawsyo@city.kawasaki.jp
コンテンツ番号180382
